CASE
18-05-12 | 올세라믹 심미수복

본문

 

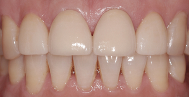
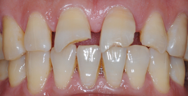
Before
After

올세라믹 심미수복