CASE
18-03-22 | 레진

본문

 

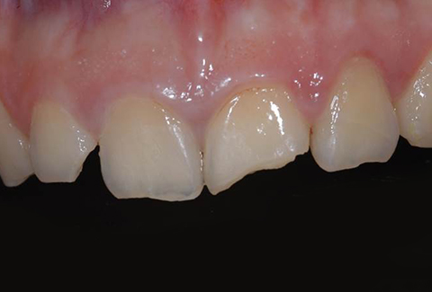
Before
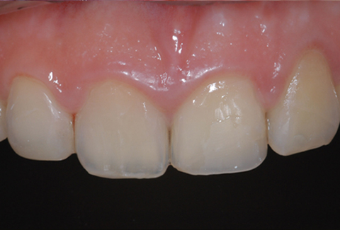
After

레진